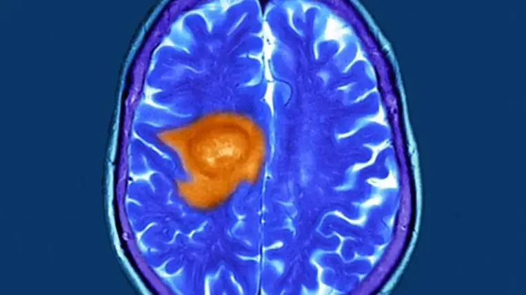
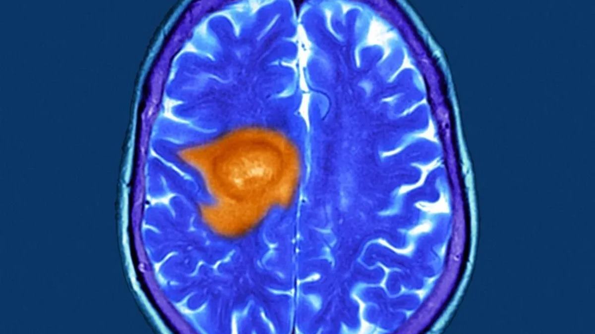
A glioblasztóma napjaink egyik legfélelmetesebb és legagresszívabb agydaganat típusa.
Az agydaganat alattomosan, sokszor hétköznapi panaszokkal indít.
Az epilepszia rendszeres kontrollt, gondozást igényel.
Korábban ellentmondásosak voltak az eredmények, a WHO szakértői most új felfedezést tettek.
Veszélyes étrend-kiegészítőnek minősítették amerikai kutatók a nikotinamid-ribozidot.