A megyei rendőrség nyomozói vizsgálják az incidens minden körülményét.
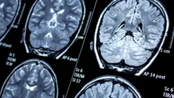
Az epilepszia rendszeres kontrollt, gondozást igényel.
Az epilepsziával élők 60-70 százaléka gyógyszeres kezeléssel tartósan rohammentessé tehető, amennyiben pedig nem használnak a gyógyszerek, akkor jön szóba az epilepszia műtéti kezelése.
Két súlyos betegség erősíti egymás hatását, derítették ki magyar kutatók.
A világon elsőként koponyába ültetett mélyagyi elektromos stimuláló eszközzel kezelik egy gyermek epilepsziás rohamait Angliában.